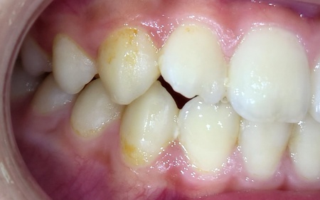
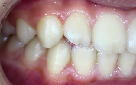
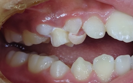
治療前
治療中
治療後

| ご相談内容 |
「左上奥歯がしみるので診てほしい」とご相談いただきました。 |
|---|---|
| カウンセリング・診断結果 |
拝見したところ、左上奥歯1本は手前の歯と隣接している面から噛み合わせの面にかけて、虫歯が生じていました。 このまま放置すると、虫歯が神経に達して今より強くしみるようになったり、痛みが出たりするリスクがあるため、早急に治療する必要があると診断しました。 |
| 行ったご提案・治療内容 |
虫歯治療後に行う修復方法について、以下の提案を行いました。 ①保険診療で修復 ②自費診療で修復 患者様はそれぞれメリットとデメリットをしっかりご理解いただいたうえで、②の自費診療での治療を選択されました。 まず、取り残しがないようにしっかりと虫歯を除去し、歯の形を整えてから型取りを行いました。 後日、完成したE-MAXインレーを装着し、噛み合わせや見た目に問題がないことを確認して、治療を終了しました。 |
| 治療回数の目安 | 2回 |
| おおよその費用 | 約50,000円 |
| 治療リスク |
・治療中に痛みを伴う場合があります |
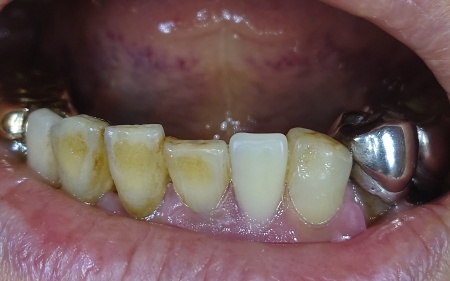
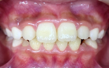
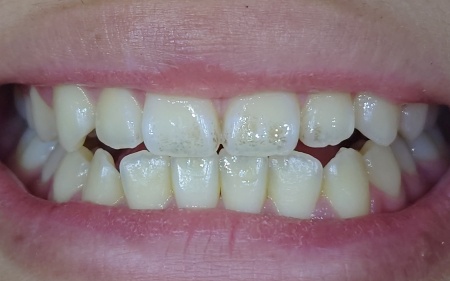
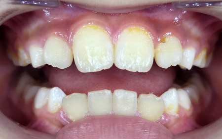
治療前
治療後
| ご相談内容 |
「上前歯に隙間がある。また、噛んだときに下前歯が見えないのも気になる」とご相談いただきました。 |
|---|---|
| カウンセリング・診断結果 |
拝見したところ、上前歯が下前歯に深く覆い被さる過蓋咬合(かがいこうごう)と、上前歯の真ん中に隙間が生じる正中離開(せいちゅうりかい)が見られました。 過蓋咬合は、噛んだときに上前歯が下の歯茎に当たったり、上前歯を押し上げるような力がかかったりすることがあります。 患者様はまだ幼いため、このまま放置すると咀嚼や発音がしにくくなったり、成長期の歯並びや顎の発育に悪影響が出たりするリスクがあります。 |
| 行ったご提案・治療内容 |
今回は、顎の発育を利用して噛み合わせを整える、マウスピース型の「T4Kトレーナー」による矯正治療を提案し、同意いただきました。 T4Kトレーナーは、装着することで舌や唇、頬の筋肉を正しく使えるように促す装置です。 メリット デメリット まずは、患者様の口の形状に合った装置を選定します。 治療中は定期的に来院いただき、装着状況や噛み合わせ、歯並びの変化を確認します。 T4Kトレーナーによる治療を15ヶ月程継続した結果、噛み合わせと前歯の隙間が改善されたため、治療を終了しました。 |
| 治療期間の目安 | 15ヶ月 |
| おおよその費用 | 約150,000円 |
| 治療リスク |
・決められたスケジュールを守らない場合、十分な効果が得られない可能性があります |
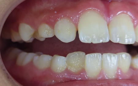
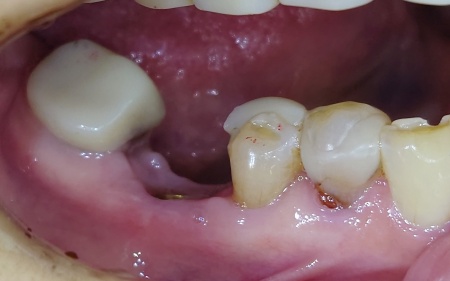
治療前
治療中


治療後

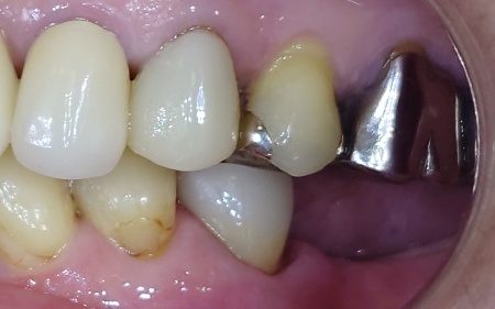
| ご相談内容 |
「右下の奥歯が折れて抜歯したので、インプラント治療で歯を入れたい」とご相談いただきました。 |
|---|---|
| カウンセリング・診断結果 |
拝見したところ、右下の奥歯が1本なくなっていました。 また奥歯が1本欠けたままの状態を放置すると、上の歯との噛み合わせが変わってしまったり、周囲の歯に負担がかかってしまったりすることがあります。 |
| 行ったご提案・治療内容 |
歯を補う治療には、以下3つの選択肢があります。 ①両隣の歯を削って橋のように連結するブリッジ ②取り外し式の入れ歯 ③人工の歯根を骨に埋めて人工歯を固定するインプラント治療 それぞれのメリット・デメリットをお伝えしたところ、患者様は初診の段階からインプラント治療を希望されていたこともあり、最終的に③インプラント治療を選択されました。 まず歯が欠けている部位の骨の状態を詳しく確認し、インプラントを適切な位置と角度で埋め込みました。処置後はインプラントがあごの骨としっかり結合するまでの期間を確保し、経過を丁寧に観察しています。 その後、インプラントが十分に安定したことを確認してから、人工歯を作るための型取りを行いました。 最後に完成したジルコニアの人工歯を装着し、噛み合わせの高さや形に問題がないかを確認して治療を終了しました。 |
| 治療回数の目安 | 約4回 |
| おおよその費用 | 約500,000円 |
| 治療リスク |
・外科手術のため、術後に痛みや腫れ、違和感を伴います |
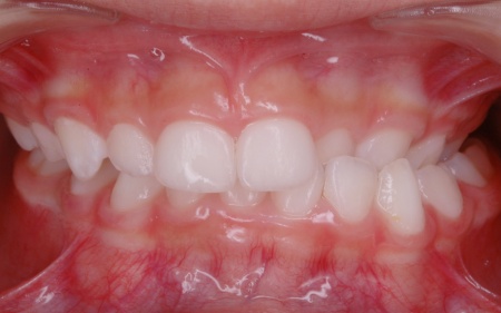
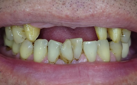
治療前
治療後
| ご相談内容 |
「歯が汚い」と患者様の親御様よりご相談いただきました。 |
|---|---|
| カウンセリング・診断結果 |
拝見したところ、歯の表面にプラーク(歯垢)が付着しており、その部位が目立っていました。 プラークとは、口の中の細菌が集まってできたもので、白色〜黄白色をしています。 またプラークは粘着性が高くうがいだけでは除去できず、歯ブラシなどで物理的にこすり落とす必要があります。 以上のことから、正しい歯磨き方法を指導してプラークを効果的に除去できるようサポートする必要があると診断しました。 |
| 行ったご提案・治療内容 |
保険診療内のクリーニングでプラークを除去できることをお伝えし、治療に同意いただきました。 クリーニングのメリット・デメリット まず、毎日の歯磨きでお口の中を清潔に保てるよう歯ブラシの正しい当て方や磨き方をお伝えしながら、ブラッシングの練習を行いました。 その後、専用の器具を用いて歯のクリーニングを実施しました。 |
| 治療回数の目安 | 1回 |
| おおよその費用 | 保険診療内 |
| 治療リスク |
・病状、症状、患者様のお口の環境によって、複数回にわたる施術が必要となる場合があります |
治療前
治療後
| ご相談内容 |
「下の前歯が抜けた」とご相談いただきました。 |
|---|---|
| カウンセリング・診断結果 |
拝見したところ、左下前歯(側切歯)が抜けていました。 また、患者様は骨粗鬆症(こつそしょうしょう)の持病があり、治療薬を内服しています。 |
| 行ったご提案・治療内容 |
診断内容を丁寧に説明したうえで、抜けた歯を補う方法として以下3つの治療法があることをお伝えしました。 ①インプラント治療 ② ブリッジ治療 ③取り外し式の入れ歯 今回、抜けた歯の両隣は大きな治療を受けていない健康な歯であり、患者様は「削りたくない」と希望されたことから、インプラント治療または入れ歯の2つを選択肢として検討しました。 さらに患者様から「入れ歯の針金が見えないようにしたい」とのご要望があったため、金属製のバネを使用しない自由診療の入れ歯であるノンクラスプデンチャーで治療を行うこととしました。 まず、入れ歯を作製するための型取りを実施します。 |
| 治療回数の目安 | 2回 |
| おおよその費用 | 約150,000円 |
| 治療リスク |
・着脱式のため、食後の清掃が必要です |
治療前
治療後
| ご相談内容 |
「左上の歯が折れてしまった」とご相談いただきました。 |
|---|---|
| カウンセリング・診断結果 |
拝見したところ、左上前歯(犬歯)が欠損しており、欠損部後方にある2本の歯を土台として欠損部を補う延長ブリッジ(複数の人工歯がつながった被せ物)が装着されていましたが、土台の2本の歯が根元部分から折れていました。 折れた歯根をそのまま放置すると、細菌が侵入して歯根の周囲に炎症が起きたり、膿が溜まったりするおそれがあります。 この場合、通常であれば折れた歯根を抜く必要がありますが、患者様は長期間にわたって骨粗鬆症の改善薬を服用されており、骨密度がとても低い状態でした。 以上のことから、患者様の全身状態と口腔内の状況を総合的に考慮し、慎重な治療が必要であると診断しました。 |
| 行ったご提案・治療内容 |
患者様には「残根上義歯(ざんこんじょうぎし)」という治療方法を提案し、同意いただきました。 また入れ歯の種類については、患者様が「金属のバネが見えてしまうのは避けたい」と希望されたため、特殊な樹脂素材を使用し、金属のバネを使わずに歯にフィットさせる「ノンクラスプデンチャー」を提案しました。 まず、折れた歯根を慎重に削り、残根上義歯が装着できるよう丁寧に調整します。 完成したノンクラスプデンチャーを装着し、必要に応じて細かな調整を行います。 |
| 治療回数の目安 | 3回 |
| おおよその費用 | 約200,000円 |
| 治療リスク |
・着脱式のため、食後の清掃が必要です |
治療前
治療後
| ご相談内容 |
「歯並びが気になる」とご相談いただきました。 |
|---|---|
| カウンセリング・診断結果 |
拝見したところ、奥歯を噛み合わせた際に上前歯が下前歯に覆いかぶさり、下前歯がほとんど見えなくなる過蓋咬合(かがいこうごう)が認められました。 過蓋咬合を放置すると、噛み合わせの問題から出っ歯になったり、奥歯に負担がかかって将来的に歯や顎に痛みが出たりするおそれがあります。 以上のことから、歯並びと噛み合わせを改善する必要があると診断しました。 |
| 行ったご提案・治療内容 |
デコボコしている歯並びを整えて正しい位置で噛めるようにするために、顎の幅を広げたあと、口周りの筋肉バランスを整える矯正治療を提案し、同意いただきました。 この治療方法は成長期のお子様に適しており、顎の骨の発達を促しながら筋肉が正しく機能するよう導くことで、歯並びや噛み合わせの改善を目指します。 まず、固定式の「上顎拡大装置」を使用して上顎の幅を徐々に広げ、歯が適切な位置に並ぶためのスペースを確保しました。 T4Kトレーナーのメリット T4Kトレーナーのデメリット 患者様と保護者様には、トレーナーの装着時間をしっかり守るよう指導して治療を進めました。 最後に、歯並びと噛み合わせが改善されたことを確認して、治療を終了しています。 |
| 治療期間の目安 | 4年 |
| おおよその費用 | 約450,000円 |
| 治療リスク |
・決められたスケジュールを守らない場合、十分な効果が得られない可能性があります |
治療前
治療後
| ご相談内容 |
「下前歯に歯石がある」とご相談いただきました。 |
|---|---|
| カウンセリング・診断結果 |
拝見したところ、下前歯の裏側に歯石が多く付着していました。 歯石は細菌の塊が石灰化して硬くなったもので、表面がざらざらしているため新たな汚れが付きやすく、通常の歯磨きだけで除去することは困難です。 このまま放置すると、虫歯や歯周病のリスクが高まるため、しっかりと取り除く必要があると診断しました。 |
| 行ったご提案・治療内容 |
歯石は保険診療内のクリーニングで除去できることをお伝えし、治療に同意いただきました。 メリット デメリット まず、超音波を利用した機械と専用の器具を用いて、歯石を丁寧に取り除きました。 歯石の除去後は、器具の刺激により歯の表面に微細な傷ができることがあります。 最後に、歯石の再付着を予防するため、患者様と保護者様には歯石が付きやすい部分の説明や、歯ブラシの正しい当て方・動かし方の指導を実施し、治療を終了しています。 |
| 治療回数の目安 | 1回 |
| おおよその費用 | 保険診療内 |
| 治療リスク |
・病状、症状、患者様のお口の環境によって、複数回にわたる施術が必要となる場合があります |
治療前
治療後
| ご相談内容 |
「上下奥歯の噛み合わせが気になる」とご相談いただきました。 |
|---|---|
| カウンセリング・診断結果 |
拝見したところ、下顎の成長が上顎よりもやや遅い傾向が見られました。 しかし、下顎の成長がこのままうまく進まず、上下顎のバランスが崩れると、将来的に以下のリスクが考えられます。 現時点で深刻な問題は見られませんが、成長期は顎の発育を促す適切なタイミングなので、お子様に適した治療をする必要があると診断しました。 |
| 行ったご提案・治療内容 |
検査結果をもとに、保護者様には現状と今後起こりうる変化、そして将来的な成長の見込みについて丁寧にお伝えします。 T4Kは、日中の短時間及び就寝中に着用して下顎の成長をサポートし、噛み合わせのバランスを整える装置です。 メリット デメリット メリットとデメリットについて詳しく説明したところ、保護者様は噛み合わせの改善を強く希望しており、T4Kを用いた治療に同意いただきました。 まずは、T4Kの装着方法や注意事項について詳しくお伝えし、ご自宅での使用を開始します。 半年後、下顎が成長して上下顎のバランスが整い、噛み合わせも改善したことが確認できたため、装置による治療を終了しています。 |
| 治療期間の目安 | 半年 |
| おおよその費用 | 約150,000円 |
| 治療リスク |
・決められたスケジュールを守らない場合、十分な効果が得られない可能性があります |
治療前
治療後
| ご相談内容 |
「下前歯の裏が黄色い」とご相談いただきました。 |
|---|---|
| カウンセリング・診断結果 |
拝見したところ、下前歯の裏側に歯石が多く付着していました。 歯石とは歯磨きで落としきれなかったプラーク(細菌のかたまり)が、唾液中のカルシウムやリンと結びついて硬くなったものです。 このまま放置すると、細菌が繁殖しトラブルを引き起こす原因になるため、しっかりと歯石を除去する必要があると診断しました。 |
| 行ったご提案・治療内容 |
保険診療内のクリーニングで歯石を除去できることをお伝えし、同意いただきました。 歯科医院でのクリーニングはご自身では落としにくい歯石や、歯ブラシが届きにくい歯と歯の間の汚れまで、専用の器具を使ってしっかりと取り除くことができます。 まず超音波を利用した機械や専用器具を用いて、歯に付着しているプラークと歯石を除去するスケーリングを行いました。 |
| 治療回数の目安 | 1回 |
| おおよその費用 | 保険診療内 |
| 治療リスク |
・病状、症状、患者様のお口の環境によって、複数回にわたる施術が必要となる場合があります |