お問い合わせはこちらまで

エスペレ歯科

ご予約・お問い合わせ
048-464-8333

ホープデンタルクリニック

ご予約・お問い合わせ
048-462-4183

Web診療予約・お問合せ

Web予約・お問合せ

80代女性 すり減って変色した下前歯をコンポジットレジンで治療した症例|朝霞市の歯医者ならエスペレ歯科・ホープデンタルクリニック

エスペレ歯科・ホープデンタルクリニック

文字の大きさ

エスペレ歯科:048-464-8333・ホープデンタルクリニック:048-462-4183
お問合せ

エスペレ歯科

ホープデンタルクリニック

かみ合わせ案内所

BBO研究会

スタッフ募集

ココシカバナー

インスタバナー

80代女性 すり減って変色した下前歯をコンポジットレジンで治療した症例

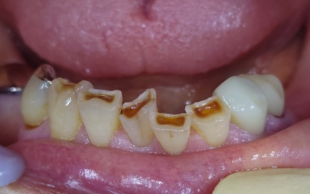
治療前

治療後

ご相談内容

「下前歯が茶色く汚れているので診てほしい」とご相談いただきました。

カウンセリング・診断結果

拝見したところ、長年の噛み合わせによって下前歯の先端部分がひどくすり減っており、エナメル質が削れ、その内側にある象牙質が露出しています。
さらに、象牙質には虫歯が認められました。

象牙質はエナメル質よりもやわらかいため、一度露出して虫歯が生じると、進行しやすくなる特徴があります。
また、この状態を放置してしまうと、虫歯がさらに深部へ及んだり、見た目や噛み合わせに悪影響が出たりするリスクもあります。

以上のことから、早急に治療をする必要があると診断しました。

行ったご提案・治療内容

虫歯を取り除いたあと、歯科用の白いプラスチック素材「コンポジットレジン」を詰める治療を提案し、同意いただきました。

メリット
・保険診療なので、費用を抑えられる
・治療期間が比較的短い
・コンポジットレジンは歯の色に近いので、自然な見た目が再現できる

デメリット
・プラスチック素材なので、長期間の使用で摩耗や変色が起こるリスクがある

まず、虫歯部分を慎重に除去します。
続いて、露出していた象牙質にコンポジットレジンを丁寧に詰め、噛み合わせを確認しながら歯の形を整えて、表面をなめらかに仕上げました。

最後に、見た目や噛み合わせに問題がないかを確認し、治療を終了しています。

治療回数の目安 1回
おおよその費用 保険診療内
治療リスク

・治療中に痛みを伴う場合があります
・治療後に正しい歯磨きやメンテナンスを怠ると、虫歯が再発する場合があります
・治療後は神経が過敏になっているため、痛みが生じる場合があります