お問い合わせはこちらまで

エスペレ歯科

ご予約・お問い合わせ
048-464-8333

ホープデンタルクリニック

ご予約・お問い合わせ
048-462-4183

Web診療予約・お問合せ

Web予約・お問合せ

8歳女の子 左下奥歯の虫歯をコンポジットレジンで修復した症例|朝霞市の歯医者ならエスペレ歯科・ホープデンタルクリニック

エスペレ歯科・ホープデンタルクリニック

文字の大きさ

エスペレ歯科:048-464-8333・ホープデンタルクリニック:048-462-4183
お問合せ

エスペレ歯科

ホープデンタルクリニック

かみ合わせ案内所

BBO研究会

スタッフ募集

ココシカバナー

インスタバナー

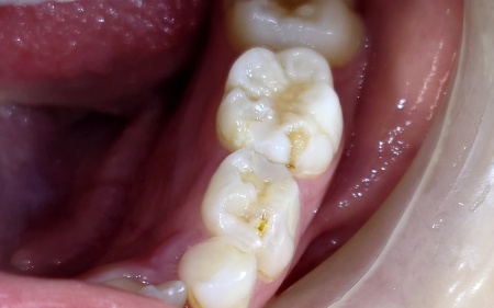
8歳女の子 左下奥歯の虫歯をコンポジットレジンで修復した症例

治療前

治療中

治療後

ご相談内容

「痛みはないけど、左下の奥歯に黒い点がある」とご相談いただきました。

カウンセリング・診断結果

拝見したところ、左下奥の乳歯の噛み合わせ面にある細い溝に黒ずんだ変色が認められました。
痛みなどの自覚症状はなかったものの視診に加え細い器具で触診を行ったところ、溝部分に約2mmほど器具が沈み込む感触がありました。

歯の表面にある小さな入り口から、歯ブラシの届きにくい内部へ向かって虫歯が広がっている可能性が考えられます。
噛み合わせの溝は非常に細く深いため、大きな変化がないように見えても気づかないうちに内部で虫歯が進行してしまうことがあります。

特にお子様の歯はエナメル質(歯の表面の硬い層)が成人に比べて薄く、虫歯が進行しやすい傾向です。
現時点で痛みがない場合でも、このまま放置すると虫歯が歯の内部にある神経にまで達し、痛みや腫れにつながる恐れがあります。

以上のことから、早期に虫歯を除去したあと修復する治療が必要と診断しました。

行ったご提案・治療内容

虫歯の大きさや進行範囲、お子様の年齢、保護者様の希望を踏まえ、保険診療の範囲内で治療できるコンポジットレジン修復を提案し、同意いただきました。

コンポジットレジン修復は、虫歯部分のみを削り歯の色に近い白い樹脂材料(コンポジットレジン)を詰める治療法です。
歯を削る量を最小限に抑えられ比較的短期間で治療が完了できますが、長期間の使用により変色や摩耗が起こることがあり、将来的に再治療が必要になる可能性があります。

まず、虫歯部分を丁寧に除去します。
見た目以上に内部で虫歯が進行していたため、健全な歯質をできるだけ残しながら感染部位を慎重に取り除きました。

続いて、歯の表面を専用の薬液で処理し、コンポジットレジンがしっかり接着するよう下準備を行いました。
その後、コンポジットレジンを適切な形に充填し専用の光で硬化させます。

最終的に、噛み合わせを細かく確認しながら調整を行い、表面を滑らかに研磨します。見た目や噛み合わせに問題がないことを確認し、治療を終了しました。

治療回数の目安 1回
おおよその費用 保険診療内
治療リスク

・治療中に痛みを伴う場合があります
・治療後に正しい歯磨きやメンテナンスを怠ると、虫歯が再発する場合があります
・治療後は神経が過敏になっているため、痛みが生じる場合があります