お問い合わせはこちらまで

エスペレ歯科

ご予約・お問い合わせ
048-464-8333

ホープデンタルクリニック

ご予約・お問い合わせ
048-462-4183

Web診療予約・お問合せ

Web予約・お問合せ

16歳男性 保険診療内のクリーニングで歯の着色汚れを除去した症例|朝霞市の歯医者ならエスペレ歯科・ホープデンタルクリニック

エスペレ歯科・ホープデンタルクリニック

文字の大きさ

エスペレ歯科:048-464-8333・ホープデンタルクリニック:048-462-4183
お問合せ

エスペレ歯科

ホープデンタルクリニック

かみ合わせ案内所

BBO研究会

スタッフ募集

ココシカバナー

インスタバナー

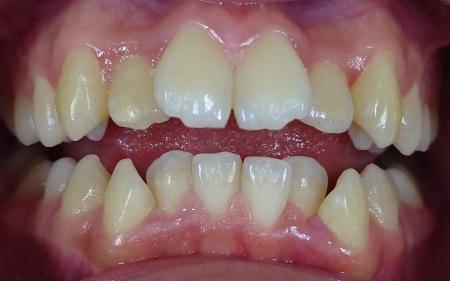
16歳男性 保険診療内のクリーニングで歯の着色汚れを除去した症例

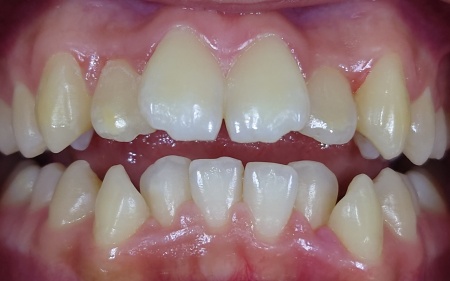
治療前

治療後

ご相談内容

「歯が黄色いのが気になる」とご相談いただきました。

カウンセリング・診断結果

拝見したところ、歯の表面全体にステイン(着色汚れ)が付着していました。
ステインは飲食物などの色素が歯の表面に沈着したもので、歯磨きでは落としにくいのが特徴です。

ステインをこのまま放置すると、歯の表面がざらつき、汚れがより蓄積しやすくなります。
さらに、細菌のかたまりであるプラークも付着しやすくなるため、虫歯や歯周病のリスクが高まる可能性もあります。

以上のことから、ステインを除去する治療が必要と診断しました。

行ったご提案・治療内容

診断結果を丁寧に説明したうえで保険診療内で行えるクリーニングを提案し、同意いただきました。

この処置は、専用器具を用いてプラークやプラークが唾液の成分と結合して固まった歯石を除去したあと、研磨剤で歯の表面を整えることでステインや細かな汚れを取り除く方法です。

まず、歯の表面の状態を確認したうえで振動によって汚れを除去する器械(超音波スケーラー)を使用し、歯石を丁寧に除去します。
続いて、研磨用のペーストを用いて歯面を磨き、傷がつかないよう配慮しながらステインを取り除きました。

ステインの付着は日々の歯磨き方法や食生活とも関係するため、患者様に合わせた自宅での歯磨き方法についてもお伝えしています。

最後に歯の表面がなめらかで汚れが付着しにくい状態になっていること、見た目にも問題がないことを確認し、治療を終了しました。

治療回数の目安 1回
おおよその費用 保険診療内
治療リスク

・病状、症状、患者様のお口の環境によって、複数回にわたる施術が必要となる場合があります
・治療が終わった後も、十分なセルフケアが必要です
・正しいブラッシングやメンテナンスを行わない場合、歯石の付着や虫歯が生じる可能性があります