お問い合わせはこちらまで

エスペレ歯科

ご予約・お問い合わせ
048-464-8333

ホープデンタルクリニック

ご予約・お問い合わせ
048-462-4183

Web診療予約・お問合せ

Web予約・お問合せ

9歳男の子 歯の表面に付着したプラークを保険診療内のクリーニングで除去した症例|朝霞市の歯医者ならエスペレ歯科・ホープデンタルクリニック

エスペレ歯科・ホープデンタルクリニック

文字の大きさ

エスペレ歯科:048-464-8333・ホープデンタルクリニック:048-462-4183
お問合せ

エスペレ歯科

ホープデンタルクリニック

かみ合わせ案内所

BBO研究会

スタッフ募集

ココシカバナー

インスタバナー

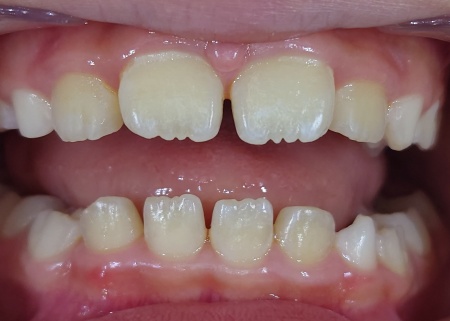
9歳男の子 歯の表面に付着したプラークを保険診療内のクリーニングで除去した症例

治療前

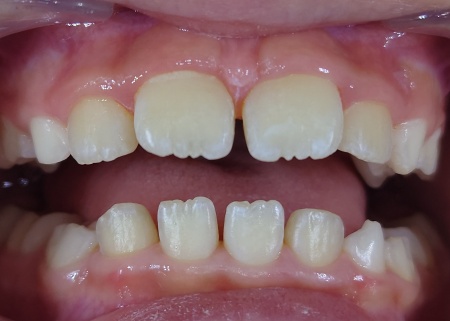
治療後

ご相談内容

「歯が汚い、定期検診を受けたい」とご相談いただきました。

カウンセリング・診断結果

拝見したところ、毎日歯みがきはされているものの歯の表面にはプラークが多く付着していました。
プラークは細菌の塊で、虫歯や歯ぐきに炎症を起こす歯肉炎の発症リスクを高める原因となるものです。

ご本人に痛みなどの自覚症状はありませんでしたが、特に歯ブラシが届きにくい歯と歯の間や歯と歯ぐきの境目に磨き残しが多く見られました。
見た目には問題がないようでも、汚れがたまりやすい状態をこのまま放置すると虫歯や歯肉炎につながる可能性があります。

以上のことから、お口の中の環境を整えるために専門的なクリーニングと正しい歯みがき方法の習得が必要と診断しました。

行ったご提案・治療内容

診断結果を丁寧に説明したうえで、保険診療の範囲内で行える歯面清掃(プロフェッショナルクリーニング)を提案し、同意いただきました。

まず、専用器具を用いて歯の表面に付着したプラークを丁寧に除去します。
続いて、歯と歯ぐきの境目や歯と歯の間など特に汚れが残りやすい部分を重点的に清掃しました。

処置と並行して、現在の歯みがきの癖や磨き残しが起こりやすい箇所を確認しながら、ご本人とご家族に効果的なブラッシング方法について説明しています。
また、今後も定期的なメンテナンスを続けていただくことの大切さもお伝えし、治療を終了しました。

治療回数の目安 1回
おおよその費用 保険診療内
治療リスク

・病状、症状、患者様のお口の環境によって、複数回にわたる施術が必要となる場合があります
・治療が終わった後も、十分なセルフケアが必要です
・正しいブラッシングやメンテナンスを行わない場合、歯石の付着や虫歯が生じる可能性があります