お問い合わせはこちらまで

エスペレ歯科

ご予約・お問い合わせ
048-464-8333

ホープデンタルクリニック

ご予約・お問い合わせ
048-462-4183

Web診療予約・お問合せ

Web予約・お問合せ

16歳男性 再発した虫歯を取り除き歯科用プラスチックで修復した症例|朝霞市の歯医者ならエスペレ歯科・ホープデンタルクリニック

エスペレ歯科・ホープデンタルクリニック

文字の大きさ

エスペレ歯科:048-464-8333・ホープデンタルクリニック:048-462-4183
お問合せ

エスペレ歯科

ホープデンタルクリニック

かみ合わせ案内所

BBO研究会

スタッフ募集

ココシカバナー

インスタバナー

16歳男性 再発した虫歯を取り除き歯科用プラスチックで修復した症例

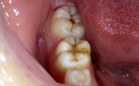
治療前

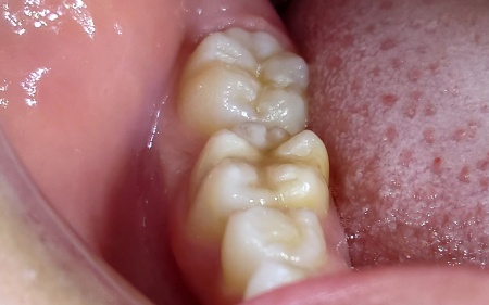
治療後

ご相談内容

「右下の奥歯が虫歯かもしれないが、痛みはない」とご相談いただきました。

カウンセリング・診断結果

拝見したところ、右下の奥歯2本に虫歯が見つかりました。
いずれの歯も過去に白い歯科用プラスチックのコンポジットレジンで治療されており、その詰め物の周囲から再び虫歯が生じていました。

虫歯は進行すると歯の内部にある神経にまで影響が及び、強い痛みが出る可能性があります。
こうした場合には神経を取り除く治療が必要になりますが、神経を失った歯は栄養が行き届きにくくなるため、結果として寿命が短くなる傾向があります。

以上のことから、虫歯が進行する前に早めの治療が必要と診断しました。

行ったご提案・治療内容

虫歯の部分をしっかり取り除いたうえで再度コンポジットレジンで修復する方法を提案し、同意いただきました。
この方法であれば保険診療の範囲内で行うことができ、比較的短期間で治療が完了します。加えて、歯の色になじみやすく自然な仕上がりになる点がメリットです。

一方で、奥歯は噛む力が強くかかるため、時間の経過とともにすり減りや劣化が起こる可能性があります。

まず、右下の奥歯2本に入っていた過去の詰め物を丁寧に取り外し、虫歯に感染している部分を確認しながら慎重に除去します。
その後、削った部分に歯の色に合わせたコンポジットレジンを詰め、専用の光を当ててしっかりと硬化させました。
最後に、噛み合わせを確認しながら形を整え、表面を滑らかに磨き上げて治療を終了しました。

治療回数の目安 1回
おおよその費用 保険診療内
治療リスク

・治療中に痛みを伴う場合があります
・治療後に正しい歯磨きやメンテナンスを怠ると、虫歯が再発する場合があります
・治療後は神経が過敏になっているため、痛みが生じる場合があります