お問い合わせはこちらまで

エスペレ歯科

ご予約・お問い合わせ
048-464-8333

ホープデンタルクリニック

ご予約・お問い合わせ
048-462-4183

Web診療予約・お問合せ

Web予約・お問合せ

20代男性 左下奥歯の虫歯を除去し保険診療のコンポジットレジンで修復した症例|朝霞市の歯医者ならエスペレ歯科・ホープデンタルクリニック

エスペレ歯科・ホープデンタルクリニック

文字の大きさ

エスペレ歯科:048-464-8333・ホープデンタルクリニック:048-462-4183
お問合せ

エスペレ歯科

ホープデンタルクリニック

かみ合わせ案内所

BBO研究会

スタッフ募集

ココシカバナー

インスタバナー

20代男性 左下奥歯の虫歯を除去し保険診療のコンポジットレジンで修復した症例

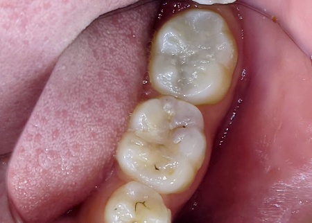
治療前

治療中

治療後

ご相談内容

「左下奥歯が黒い気がする。痛みはないが、気になるので診てほしい」とご相談いただきました。

カウンセリング・診断結果

拝見したところ、左下奥歯の表面に黒い変色が見られたため、詳しく検査を行った結果、虫歯であることがわかりました。

痛みはないとのことでしたが、虫歯は必ずしも痛みを伴うとは限らず、症状がない段階でも歯の内部で進行していることがあります。

このまま放置すると、虫歯が進行して歯の神経にまで達し、強い痛みが出たり歯の神経を除去しなければならなくなったりするリスクがあります。

以上のことから、早期の治療が必要だと診断しました。

行ったご提案・治療内容

診断結果をお伝えしたうえで、虫歯を除去したあとに歯科用の白いプラスチックの詰め物「コンポジットレジン」で修復する治療を提案し、同意いただきました。
コンポジットレジンは、歯を削った部分に直接材料を詰めて固める治療方法です。

メリット
・保険診療内の治療なので、費用を抑えられる
・歯の色に近く、自然な見た目に仕上がる

デメリット
・歯の状態によっては、色調が完全に一致しない場合がある
・経年劣化で、変色や摩耗のリスクがある

まず、虫歯部分を丁寧に除去します。
その際、黒く変色している部分を慎重に確認しながら進めましたが、一部は表面が滑らかで硬い状態であったため、細菌感染が及んでいないと判断し、削らずに残しました。

削らずに残した部分はやや黒ずんでいるため、コンポジットレジンの色合いと差が生じるおそれがあります。この点については、患者様に了承いただきました。

続いて、削った部分にコンポジットレジンを詰め、周囲の歯となじむように形や噛み合わせを整えます。

最後に、見た目や噛み合わせに問題がないことを確認し、治療を終了しました。

治療回数の目安 1回
おおよその費用 保険治療内
治療リスク

・治療中に痛みを伴う場合があります
・治療後に正しい歯磨きやメンテナンスを怠ると、虫歯が再発する場合があります
・治療後は神経が過敏になっているため、痛みが生じる場合があります