お問い合わせはこちらまで

エスペレ歯科

ご予約・お問い合わせ
048-464-8333

ホープデンタルクリニック

ご予約・お問い合わせ
048-462-4183

Web診療予約・お問合せ

Web予約・お問合せ

8歳男の子 歯に付着したプラークをクリーニングで除去した症例|朝霞市の歯医者ならエスペレ歯科・ホープデンタルクリニック

エスペレ歯科・ホープデンタルクリニック

文字の大きさ

エスペレ歯科:048-464-8333・ホープデンタルクリニック:048-462-4183
お問合せ

エスペレ歯科

ホープデンタルクリニック

かみ合わせ案内所

BBO研究会

スタッフ募集

ココシカバナー

インスタバナー

8歳男の子 歯に付着したプラークをクリーニングで除去した症例

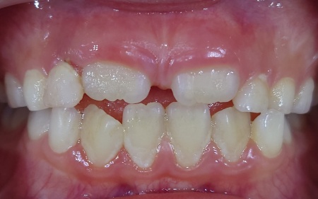
治療前

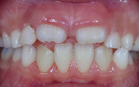
治療後

ご相談内容

「歯が黄色いのが気になる」とご相談いただきました。

カウンセリング・診断結果

お口の中を拝見すると、歯の表面全体にプラークが多く付着している状態でした。プラークは細菌のかたまりで、舌で触るとザラザラした感触があり、毎日の歯みがきが十分に行き届かないと少しずつ蓄積していくものです。

今回のケースでは、特に歯と歯の間、歯と歯ぐきの境目といった磨きにくい部分にプラークが残っている様子が見られました。
このまま放置すると、歯の表面が溶けて虫歯になったり、歯ぐきの中に入り込んで炎症を引き起こしたりするリスクがあります。

以上のことから、まずはプラークをしっかり取り除く必要があると診断しました。

行ったご提案・治療内容

診断内容について丁寧に説明し、保険診療の範囲で行うクリーニングをご提案しました。プラークを除去することでお口のトラブル予防につながる点がメリットです。
一方で、処置中の刺激によって一時的に出血や違和感が出る可能性があることもお伝えし、同意いただきました。

まず、超音波の振動を利用した機械や手用の器具を使い、歯の表面に付着したプラークを丁寧に取り除きました。歯と歯の間については、デンタルフロスを用いて清掃を行っています。
その後、回転するブラシと研磨用のペーストを使い、歯の表面を磨く「ポリッシング」を行いました。

また、プラークの付着を防ぐためには、日々の歯みがきがとても重要です。プラークが付きやすい場所や磨き残しが出やすい部分を患者様と一緒に確認しながら、歯ブラシの持ち方や当て方、磨く順番について具体的にお伝えし、治療を終了しました。

治療回数の目安 1回
おおよその費用 保険診療内
治療リスク

・病状、症状、患者様のお口の環境によって、複数回にわたる施術が必要となる場合があります
・治療が終わった後も、十分なセルフケアが必要です
・正しいブラッシングやメンテナンスを行わない場合、歯石の付着や虫歯が生じる可能性があります