お問い合わせはこちらまで

エスペレ歯科

ご予約・お問い合わせ
048-464-8333

ホープデンタルクリニック

ご予約・お問い合わせ
048-462-4183

Web診療予約・お問合せ

Web予約・お問合せ

50代男性 欠損した左下奥歯部分を金属バネのない入れ歯で補った症例|朝霞市の歯医者ならエスペレ歯科・ホープデンタルクリニック

エスペレ歯科・ホープデンタルクリニック

文字の大きさ

エスペレ歯科:048-464-8333・ホープデンタルクリニック:048-462-4183
お問合せ

エスペレ歯科

ホープデンタルクリニック

かみ合わせ案内所

BBO研究会

スタッフ募集

ココシカバナー

インスタバナー

50代男性 欠損した左下奥歯部分を金属バネのない入れ歯で補った症例

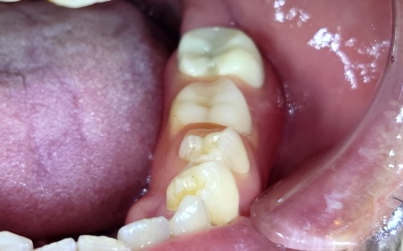
治療前

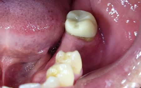
治療後

ご相談内容

「数年前に左下奥歯が欠損したので保険診療の入れ歯を作ったが、うまく合わない。何かほかの治療方法がないか診てほしい」とご相談いただきました。

カウンセリング・診断結果

左下奥歯(第1大臼歯)が欠損しており、保険診療で部分入れ歯を作製したものの、うまく合わないとのことでした。

詳しく検査をした結果、欠損している部位やその周囲に大きな異常は認められませんでした。
しかし合わない入れ歯を使い続けると、食事や会話がしにくくなったり、残っている歯に負担がかかったりなどのリスクがあります。

以上のことから、欠損部を補うための治療が必要だと診断しました。

行ったご提案・治療内容

欠損部を補う方法として、以下3つの治療法があります。

・顎の骨に人工歯根を埋め込み、その上に人工歯を装着するインプラント
・欠損部前後の歯を削って土台とし、橋渡しのような被せ物で歯を補うブリッジ
・入れ歯

患者様は、インプラントとブリッジではない方法を希望されていたため、見た目や装着感に配慮した部分入れ歯「ノンクラスプデンチャー」を提案し、同意いただきました。

ノンクラスプデンチャーは、留め具に金属のバネを使用せず、歯茎の色に近い特殊な樹脂を用いるため、目立ちにくいのが特徴です。
また、保険診療の入れ歯よりも装着時の違和感が少ないメリットもあります。

ただ、自費診療なので比較的費用がかかり、特殊な素材を使用しているため、修理や調整に時間がかかることがある点がデメリットです。

まずは口腔内の型取りを行い、ノンクラスプデンチャーを作製します。

後日、完成したノンクラスプデンチャーを装着し、噛み合わせの調整を行いました。
最後に、使用感に問題がないことを確認して、治療を終了しています。

治療回数の目安 2回
おおよその費用 約150,000円
治療リスク

・着脱式のため、食後の清掃が必要です
・最初のうちは異物感があり、慣れるまで時間がかかる場合があります
・慣れるまでは、入れ歯の裏側の粘膜に傷ができる場合があります