お問い合わせはこちらまで

エスペレ歯科

ご予約・お問い合わせ
048-464-8333

ホープデンタルクリニック

ご予約・お問い合わせ
048-462-4183

Web診療予約・お問合せ

Web予約・お問合せ

30代男性 歯の着色汚れを保険診療内のクリーニングで除去した症例|朝霞市の歯医者ならエスペレ歯科・ホープデンタルクリニック

エスペレ歯科・ホープデンタルクリニック

文字の大きさ

エスペレ歯科:048-464-8333・ホープデンタルクリニック:048-462-4183
お問合せ

エスペレ歯科

ホープデンタルクリニック

かみ合わせ案内所

BBO研究会

スタッフ募集

ココシカバナー

インスタバナー

30代男性 歯の着色汚れを保険診療内のクリーニングで除去した症例

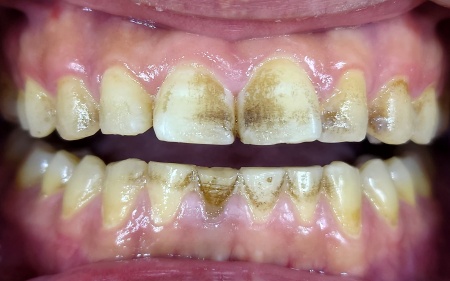
治療前

治療後

ご相談内容

「友人に歯の汚れを指摘されたので、診てほしい」とご相談いただきました。

カウンセリング・診断結果

拝見したところ、歯の表面には飲食物による着色汚れ「ステイン」が見られました。
とくに前歯を中心にステインが濃く付着しており、口を開けた際の見た目に悪影響が出ています。

ステインの主な原因は、コーヒーやお茶、ワインなどに含まれる色素です。毎日の歯磨きだけでは落としきることが難しく、時間とともに少しずつ蓄積していきます。また、ステインの表面はざらついているため、細菌のかたまりであるプラークが付着しやすくなります。

このまま放置すると、口臭や虫歯、歯茎の炎症につながるリスクがあるため、ステインをしっかり除去する必要があると診断しました。

行ったご提案・治療内容

今回は、保険診療内のクリーニングを提案し、同意いただきました。
1回の治療でステインの除去が可能ですが、処置の刺激で一時的に出血や歯茎の違和感が生じるおそれがあります。

まずは、超音波の振動を利用した機器や専用の器具を使い、歯の表面に付着したステインを丁寧に除去します。
歯と歯の間などの細かい部位まで、しっかりとクリーニングを行いました。

ステイン除去後は歯の表面に細かな傷が生じます。
ステインの再付着を予防するため、回転するブラシと専用のペーストを用いて表面をなめらかに磨き上げています。

最後に、患者様と一緒に口腔内の状態を確認しながら、着色しやすい部位の特徴と生活習慣の関係について説明しました。
併せて、ご自宅でのケアでステインの付着をできるだけ抑えられるよう、歯ブラシの当て方や動かし方についてもお伝えし、治療を終了しています。

治療回数の目安 1回
おおよその費用 保険診療内
治療リスク

・病状、症状、患者様のお口の環境によって、複数回にわたる施術が必要となる場合があります
・治療が終わった後も、十分なセルフケアが必要です
・正しいブラッシングやメンテナンスを行わない場合、歯石の付着や虫歯が生じる可能性があります