お問い合わせはこちらまで

エスペレ歯科

ご予約・お問い合わせ
048-464-8333

ホープデンタルクリニック

ご予約・お問い合わせ
048-462-4183

Web診療予約・お問合せ

Web予約・お問合せ

50代男性 虫歯が原因で折れた歯をセラミッククラウンで修復した症例|朝霞市の歯医者ならエスペレ歯科・ホープデンタルクリニック

エスペレ歯科・ホープデンタルクリニック

文字の大きさ

エスペレ歯科:048-464-8333・ホープデンタルクリニック:048-462-4183
お問合せ

エスペレ歯科

ホープデンタルクリニック

かみ合わせ案内所

BBO研究会

スタッフ募集

ココシカバナー

インスタバナー

50代男性 虫歯が原因で折れた歯をセラミッククラウンで修復した症例

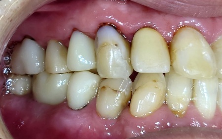
治療前

治療後

ご相談内容

「右上の歯が虫歯になって折れてしまったので診てほしい」とご相談いただきました。

カウンセリング・診断結果

拝見したところ、右上の歯と歯茎の境目に虫歯が認められました。

このまま放置すると虫歯がさらに進行し、歯の温存が難しくなる、噛み合わせが悪化する、周囲の歯に悪影響を及ぼすなどのリスクがあります。

また、虫歯の進行により歯の一部が大きく欠けているため、虫歯を取り除いたあとに歯の土台を再建し、その後、被せ物を用いて歯を修復する必要があると診断しました。

行ったご提案・治療内容

診断結果をふまえ、虫歯除去後に「ファイバーコア」で被せ物を装着するための土台を再建したうえで、審美性と耐久性に優れた「E-MAX(イーマックス)」を用いたセラミッククラウンによる被せ物治療を提案しました。

ファイバーコアとは、しなやかな性質をもつグラスファイバーを用いて作られた土台です。金属の土台と比較すると強度はやや劣るものの、歯にかかる負担が少ない特徴があります。
また白色で透明感があり、セラミックの被せ物と調和しやすい点もメリットです。

E-MAXは天然歯のような透明感があり、金属を使用していないため金属アレルギーの心配がありません。
一方で、自費診療なので比較的費用がかかります。

以上のメリットとデメリットをお伝えし、治療に同意いただきました。

まずは虫歯を丁寧に除去し、健康な部分をできるだけ残せるよう慎重に処置を行います。

続いてファイバーコアを用いて、歯の土台を再建しました。
コアがしっかりと固定されるよう、丁寧に接着処理を行っています。

その後、被せ物がフィットするように歯の形を整えて精密な型取りを行い、技工所でセラミッククラウンを製作しました。

後日、完成したセラミッククラウンを装着し、見た目や噛み合わせに問題がないことを確認して、治療を終了しています。

治療回数の目安 2回
おおよその費用 110,000円
治療リスク

・治療後に正しい歯磨きやメンテナンスを怠ると、虫歯が再発する場合があります
・装着に際し、天然歯を削る場合があります
・噛み合わせや歯ぎしりが強い場合、セラミックが割れる可能性があります
・一部の治療を除き、自費診療(保険適用外治療)です