お問い合わせはこちらまで

エスペレ歯科

ご予約・お問い合わせ
048-464-8333

ホープデンタルクリニック

ご予約・お問い合わせ
048-462-4183

Web診療予約・お問合せ

Web予約・お問合せ

4歳女の子 歯並びを広げる装置とマウスピース型矯正装置を併用して左前歯のクロスバイトを改善した症例|朝霞市の歯医者ならエスペレ歯科・ホープデンタルクリニック

エスペレ歯科・ホープデンタルクリニック

文字の大きさ

エスペレ歯科:048-464-8333・ホープデンタルクリニック:048-462-4183
お問合せ

エスペレ歯科

ホープデンタルクリニック

かみ合わせ案内所

BBO研究会

スタッフ募集

ココシカバナー

インスタバナー

4歳女の子 歯並びを広げる装置とマウスピース型矯正装置を併用して左前歯のクロスバイトを改善した症例

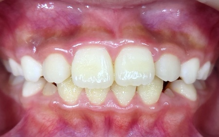
治療前

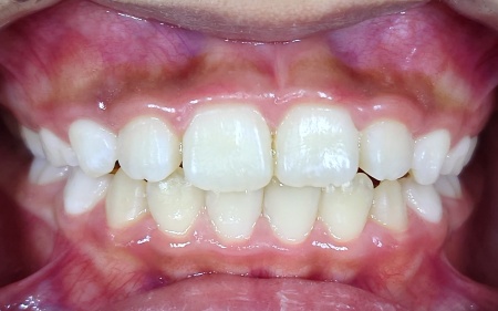
治療中

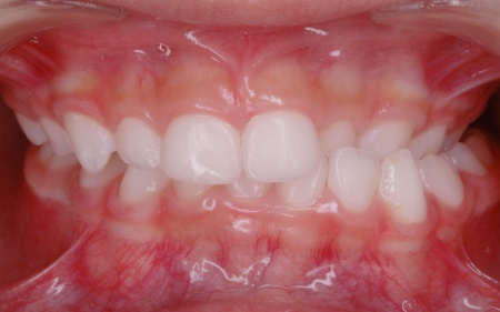
治療後

ご相談内容

「歯並びと噛み合わせが左右で違うように見える」とご相談いただきました。

カウンセリング・診断結果

拝見したところ、左前歯に上下の噛み合わせが逆になっているクロスバイトが見られました。
本来、正常な噛み合わせでは上の歯が下の歯に覆いかぶさる形になりますが、今回のケースでは左前歯の下の歯が上の歯よりも外側に出ていました。

このまま成長した場合、見た目の問題だけでなく歯ブラシの当てにくさから虫歯や歯ぐきの炎症が起こりやすくなる可能性があります。
また噛み合わせのずれが続くとあごの成長に左右差が生じたり、お顔のバランスに影響が出たりすることも考えられます。

以上を踏まえ、成長期である今のタイミングで歯並びと噛み合わせを整える矯正治療を行うことが望ましいと診断しました。

行ったご提案・治療内容

クロスバイトを改善するため、まずは上あごの歯並びの幅を広げ十分なスペースを確保します。
上あごの幅を広げる方法はいくつかありますが、今回は「可撤式床装置(かてつしきしょうそうち)」をおすすめしました。
可撤式床装置は成長の力を利用しながら歯並びの幅を無理なく広げることができ、取り外して清掃できるためお口の中を清潔に保ちやすいのがメリットです。
一方で、決められた装着時間を守らないと十分な効果が得られない可能性があります。

歯並びの幅を広げたあと、お口まわりの筋肉バランスや舌の使い方を整えるマウスピース型装置「T4Kトレーナー」を装着します。
T4Kトレーナーは歯を強い力で直接動かすのではなく、舌が正しい位置にくるよう促したり口呼吸を改善したりするアプローチを行い、唇や頬の筋肉のバランスを整えることを目的としています。
これによりあごの正常な発育を促し、将来、永久歯が正しく並ぶための土台づくりを目指します。
ただし1日一定時間以上の装着が必要となるため、ご本人やご家族のご協力が重要です。

それぞれの治療方法について丁寧に説明し、治療に同意いただきました。

まず上あごの歯並びの幅を広げるため、取り外し式の可撤式床装置を作製し装着します。
定期的に通院していただきながら装置の調整を行い、歯並びの広がりや噛み合わせの変化を確認していきました。

歯並びの幅がある程度広がった段階で、T4Kトレーナーの使用をスタートします。
日中および就寝時の装着についてお伝えし、装着状況と口腔内の状態を確認しながら定期的に通院していただきました。
治療の途中経過はこちら:https://asaka-kiboukai.com/blog/20250914-2/

現在は整った歯並びとあごの健やかな発育を維持することを目的に、主に就寝時にT4Kトレーナーを使用していただいています。
引き続き定期的に経過を確認しながら、安定した状態を保てるよう管理を行っています。

治療期間の目安 6年
おおよその費用 約300,000円
(当初の予定より治療費を抑えられました)
治療リスク

・決められたスケジュールを守らない場合、十分な効果が得られない可能性があります
・マウスピースに対応していない症例の場合、治療が難しい可能性があります
・歯の移動に伴って、痛みや違和感を感じる場合があります
・正しいブラッシングやメンテナンスを行わない場合、虫歯や歯周病のリスクが高まります