お問い合わせはこちらまで

エスペレ歯科

ご予約・お問い合わせ
048-464-8333

ホープデンタルクリニック

ご予約・お問い合わせ
048-462-4183

Web診療予約・お問合せ

Web予約・お問合せ

9歳男の子 大量に付着していたプラークを保険診療内のクリーニングで除去した症例|朝霞市の歯医者ならエスペレ歯科・ホープデンタルクリニック

エスペレ歯科・ホープデンタルクリニック

文字の大きさ

エスペレ歯科:048-464-8333・ホープデンタルクリニック:048-462-4183
お問合せ

エスペレ歯科

ホープデンタルクリニック

かみ合わせ案内所

BBO研究会

スタッフ募集

ココシカバナー

インスタバナー

9歳男の子 大量に付着していたプラークを保険診療内のクリーニングで除去した症例

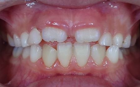
治療前

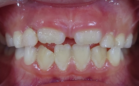
治療後

ご相談内容

「歯が汚い感じがする」とご相談いただきました。

カウンセリング・診断結果

拝見したところ、歯の表面に多量のプラーク(歯垢)が付着していました。
プラークとは食べ物の残りカスと細菌が混ざり合ってできる汚れのことで、虫歯や歯肉炎(歯ぐきの炎症)の原因になります。

特に歯と歯ぐきの境目に厚くプラークが蓄積しており、日常の歯みがきだけでは十分に清掃が行き届いていない状態でした。
9歳という年齢は乳歯と永久歯が混在する時期で、歯並びが一時的に複雑になりやすく、その影響で磨き残しが生じやすい傾向があります。

このまま放置すると、虫歯の発生リスクが高まるだけでなく歯ぐきの腫れや出血を伴う歯肉炎を引き起こす可能性があります。
また永久歯が生えそろう大切な時期に口腔内環境が乱れることで、将来的な歯の健康に影響を及ぼすおそれも考えられました。

以上のことから、お口の中の清掃を含めた処置が必要と診断しました。

行ったご提案・治療内容

現在の口腔内の状態を踏まえ、保険診療内でのクリーニングで歯の表面に付着したプラークを取り除くことを提案しました。
併せて、今後同じ状態を繰り返さないよう正しい歯みがき方法の指導を受けることもおすすめしました。
これらの説明をお子さまと保護者の方に丁寧に行ったうえで、治療に同意いただいています。

まず専用の器具を用いて、歯の表面に付着しているプラークを丁寧に除去しました。
特に歯と歯の間や歯と歯ぐきの境目など、磨き残しが起こりやすい部位は慎重に清掃しています。
次に歯の表面を研磨し、汚れが再付着しにくいよう滑らかな状態に整えました。

最後にお子さまと保護者の方に、正しい歯みがき方法について説明しました。
歯ブラシの持ち方や角度、磨く順番を実際にお見せしながら、ご自宅でも実践しやすいようお伝えしています。

処置後、痛みや違和感がないことを確認し、治療を終了しました。

治療回数の目安 1回
おおよその費用 保険診療内
治療リスク

・病状、症状、患者様のお口の環境によって、複数回にわたる施術が必要となる場合があります
・治療が終わった後も、十分なセルフケアが必要です
・正しいブラッシングやメンテナンスを行わない場合、歯石の付着や虫歯が生じる可能性があります