お問い合わせはこちらまで

エスペレ歯科

ご予約・お問い合わせ
048-464-8333

ホープデンタルクリニック

ご予約・お問い合わせ
048-462-4183

Web診療予約・お問合せ

Web予約・お問合せ

50代女性 下前歯の裏側に付着した歯石を保険診療内のクリーニングで除去した症例|朝霞市の歯医者ならエスペレ歯科・ホープデンタルクリニック

エスペレ歯科・ホープデンタルクリニック

文字の大きさ

エスペレ歯科:048-464-8333・ホープデンタルクリニック:048-462-4183
お問合せ

エスペレ歯科

ホープデンタルクリニック

かみ合わせ案内所

BBO研究会

スタッフ募集

ココシカバナー

インスタバナー

50代女性 下前歯の裏側に付着した歯石を保険診療内のクリーニングで除去した症例

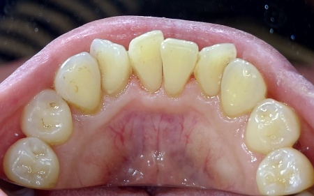
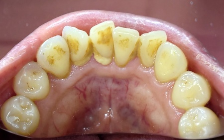
治療前

治療後

ご相談内容

「定期検診とクリーニングをお願いしたい」とご相談いただきました。

カウンセリング・診断結果

拝見したところ、下前歯の裏側と歯ぐきの境目を中心に歯石の付着が目立っていました。

歯石とは歯の表面に付着したプラーク(細菌のかたまり)が、磨き残しによって唾液中のミネラルと結びつき固まったものです。

プラーク自体はやわらかく毎日の歯磨きで取り除くことができますが、一度固まった歯石は歯ブラシでは除去できません。
また歯石の表面はざらついているため、さらにプラークが付着しやすい状態になります。

このまま放置すると、汚れが溜まり続けるだけでなく、細菌が増えて歯ぐきに炎症を起こしやすくなる可能性があります。

現時点では、歯ぐきに強い腫れや出血といった大きな炎症は見られませんでした。
ただこの状態が続くと炎症が起きて歯ぐきが下がったり、最終的には歯を支える骨が吸収されたりするおそれがあることから、歯石を除去する治療が必要と診断しました。

行ったご提案・治療内容

保険診療内のクリーニングで歯石を除去できることをお伝えし、同意いただきました。
また、歯石は一度除去しても再び付着しやすいため、定期的なクリーニングと毎日のセルフケアが大切であることもお伝えしています。

まず超音波スケーラーを使用し、歯の表面に付着した歯石を除去しました。
超音波スケーラーは超音波の細かな振動によって歯石を砕きながら取り除く器具で、歯への負担を抑えつつ効率的に処置が行えます。

続いて手用スケーラーを用いて、歯と歯ぐきの境目や歯と歯の間など細かい部分に残った歯石を丁寧に除去しました。
特に歯石が付きやすい下前歯の裏側については、歯ぐきの状態を確認しながら慎重に処置を行っています。

歯石除去後は研磨用のペーストを使用して歯の表面を磨き、表面を滑らかに整えました。
これにより、歯垢が再び付着しにくい状態を目指しています。

最後に、痛みや違和感がないことを確認しました。
またご自宅でのセルフケアとして、磨き残しが出やすい部分を中心に歯ブラシの当て方や歯間ブラシ・デンタルフロスの使い方を説明し、治療を終了しました。

治療回数の目安 1回
おおよその費用 保険診療内
治療リスク

・病状、症状、患者様のお口の環境によって、複数回にわたる施術が必要となる場合があります
・治療が終わった後も、十分なセルフケアが必要です
・正しいブラッシングやメンテナンスを行わない場合、歯石の付着や虫歯が生じる可能性があります