お問い合わせはこちらまで

エスペレ歯科

ご予約・お問い合わせ
048-464-8333

ホープデンタルクリニック

ご予約・お問い合わせ
048-462-4183

Web診療予約・お問合せ

Web予約・お問合せ

50代男性 外れた被せ物を除去して自然な見た目のE-MAXで修復した症例|朝霞市の歯医者ならエスペレ歯科・ホープデンタルクリニック

エスペレ歯科・ホープデンタルクリニック

文字の大きさ

エスペレ歯科:048-464-8333・ホープデンタルクリニック:048-462-4183
お問合せ

エスペレ歯科

ホープデンタルクリニック

かみ合わせ案内所

BBO研究会

スタッフ募集

ココシカバナー

インスタバナー

50代男性 外れた被せ物を除去して自然な見た目のE-MAXで修復した症例

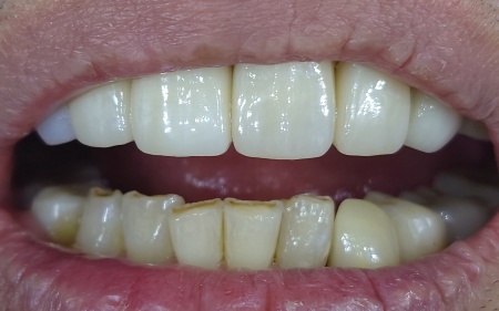
治療前

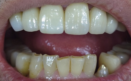
治療後

ご相談内容

「左下前歯の被せ物が外れてしまった。また、この歯だけ飛び出すように生えているので、目立たないようにしてほしい」とご相談いただきました。

カウンセリング・診断結果

拝見したところ、左下前歯に装着してあった被せ物が外れていました。
また、歯が外側にやや傾いて生えている唇側(しんそく)転移の状態です。

このまま放置すると、歯がさらに動いて噛み合わせが悪くなったり、歯磨きがしにくいことで虫歯や歯周病のリスクが高まったりします。

以上のことから、新しい被せ物を作製する必要があると診断しました。

行ったご提案・治療内容

左下前歯の被せ物を新しく作り直す方法を提案し、同意いただきました。
新しい被せ物の素材には、歯科用の陶材であるセラミックの一種で、透明感と耐久性に優れた 「E-MAX(イーマックス)」 を選択しています。

E-MAXのメリット
・天然歯に近い透明感があり、自然な見た目を再現できる
・強度が高く、長期的に安定して使用しやすい

E-MAXのデメリット
・自費診療なので比較的費用がかかる
・強い衝撃が加わると割れるリスクがある

また、噛み合わせや見た目が自然になるよう、被せ物の先端部分ができるだけ歯並びの内側に収まる位置に調整する旨もお伝えしています。

まず、被せ物の土台となる左下前歯の形を整えます。
次に精密な型取りを行い、被せ物を作製するための模型を作りました。

後日、完成したE-MAXの被せ物を専用の材料でしっかりと装着し、噛み合わせに問題がないか、歯の位置が自然かなどを確認して、治療を終了しています。

治療回数の目安 2回
おおよその費用 約100,000円
治療リスク

・装着に際し、天然歯を削る場合があります
・硬い素材の場合、他の天然歯を傷つけることがあります
・噛み合わせや歯ぎしりが強い場合、セラミックが割れる可能性があります
・一部の治療を除き、自費診療(保険適用外治療)です