お問い合わせはこちらまで

エスペレ歯科

ご予約・お問い合わせ
048-464-8333

ホープデンタルクリニック

ご予約・お問い合わせ
048-462-4183

Web診療予約・お問合せ

Web予約・お問合せ

50代女性 右上前歯の詰め物を除去し新しいコンポジットレジンに交換した症例|朝霞市の歯医者ならエスペレ歯科・ホープデンタルクリニック

エスペレ歯科・ホープデンタルクリニック

文字の大きさ

エスペレ歯科:048-464-8333・ホープデンタルクリニック:048-462-4183
お問合せ

エスペレ歯科

ホープデンタルクリニック

かみ合わせ案内所

BBO研究会

スタッフ募集

ココシカバナー

インスタバナー

50代女性 右上前歯の詰め物を除去し新しいコンポジットレジンに交換した症例

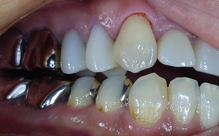
治療前

治療中

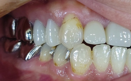
治療後

ご相談内容

「右上の糸切歯が汚くなってきた」とご相談いただきました。

カウンセリング・診断結果

拝見したところ、右上の糸切り歯(犬歯)の歯と歯ぐきの境目付近に、以前の治療で装着した歯科用の白い樹脂の詰め物(コンポジットレジン)が見られました。
ただ詰め物の周囲に段差とわずかな隙間ができており、そこに汚れや着色が入り込んでいる状態です。
コンポジットレジンは時間が経つにつれて劣化しやすい材質のため、このように詰め物との境目が合わなくなることがあります。

このまま放置すると隙間から内部に虫歯菌が入り込み、歯の内側で虫歯が進行するおそれがあります。
また段差部分は歯ブラシが届きにくく、歯ぐきの炎症や歯周病の原因につながる可能性も否定できません。

以上のことから、見た目の問題だけでなく清掃のしやすさや将来的な歯の健康を考えても、詰め物を再治療する必要があると診断しました。

行ったご提案・治療内容

古い詰め物の劣化と着色を改善するためコンポジットレジンを詰め直すことを提案し、同意いただきました。

コンポジットレジンは、周囲の歯になじみやすく見た目を自然に整えられる材料で、1回の治療で完了することが多い点がメリットです。
一方で材質の特性から時間の経過とともに変色や劣化が生じるため、良い状態を保つには定期的なチェックとメンテナンスが必要であることも併せて説明しています。

まず、健康な歯を過度に削らないよう細心の注意を払いながら劣化しているコンポジットレジンを丁寧に除去し、同時に周囲の着色や汚れも取り除きます。
続いて歯の表面に接着力を高める薬剤(エッチング材)を塗布し、新しいコンポジットレジンがしっかり接着するよう下準備を行いました。
その後、歯の色に合わせたコンポジットレジンを慎重に盛りつけ、形を整えながら光照射によって硬化させています。

最後に、表面の微調整と研磨を行い自然な艶が出るよう仕上げ、噛み合わせと見た目に問題がないことを確認したうえで、治療を終了しました。

治療回数の目安 1回
おおよその費用 保険診療内
治療リスク

・治療中に痛みを伴う場合があります
・治療後に正しい歯磨きやメンテナンスを怠ると、虫歯が再発する場合があります
・治療後は神経が過敏になっているため、痛みが生じる場合があります
・強い力や衝撃が加わった場合、割れたり欠けたりする可能性があります
・広範囲にわたって修復が必要な場合は、適用できない可能性があります