お問い合わせはこちらまで

エスペレ歯科

ご予約・お問い合わせ
048-464-8333

ホープデンタルクリニック

ご予約・お問い合わせ
048-462-4183

Web診療予約・お問合せ

Web予約・お問合せ

18歳女性 下前歯の裏側に付着した歯石を保険診療内のクリーニングで除去した症例|朝霞市の歯医者ならエスペレ歯科・ホープデンタルクリニック

エスペレ歯科・ホープデンタルクリニック

文字の大きさ

エスペレ歯科:048-464-8333・ホープデンタルクリニック:048-462-4183
お問合せ

エスペレ歯科

ホープデンタルクリニック

かみ合わせ案内所

BBO研究会

スタッフ募集

ココシカバナー

インスタバナー

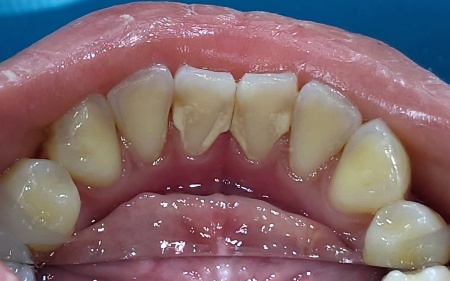
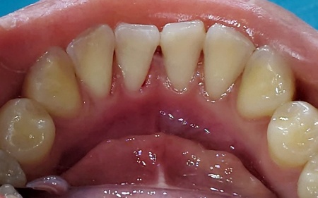
18歳女性 下前歯の裏側に付着した歯石を保険診療内のクリーニングで除去した症例

治療前

治療後

ご相談内容

定期健診で来院いただいた患者様です。

カウンセリング・診断結果

拝見したところ、下前歯の裏側に歯石が多く付着していました。
歯石とは、歯磨きで落としきれなかったプラークが、唾液中のカルシウムやリンと結合して硬くなったものです。

歯石は歯の表面に強くこびりついているため、通常の歯磨きで除去することは困難です。
また、歯石の表面はザラザラしており、虫歯や歯肉炎、口臭の原因となる細菌が付着しやすい特徴があります。

このまま放置すると、細菌が繁殖して口腔トラブルの原因になるリスクがあるため、しっかりと歯石を除去する必要があると診断しました。

行ったご提案・治療内容

患者様には、保険診療内のクリーニングで歯石の除去が可能なことをお伝えし、同意いただきました。

歯科医院でのクリーニングでは、ご自身では落としにくい歯石や、歯ブラシが届きにくい歯間の汚れまで、専用の器具を使ってしっかりと取り除くことができます。
ただ、処置の際には一時的に出血や違和感が生じる場合がある点がデメリットです。

まず、超音波を利用した機械や専用器具を用いて、歯に付着しているプラークと歯石を除去する「スケーリング」を行います。

その後、プラークや歯石が再び付着しないよう、回転するブラシを用いて歯の表面をなめらかに磨き上げる「ポリッシング」を施して、治療を終了しました。

治療回数の目安 1回
おおよその費用 保険診療内
治療リスク

・病状、症状、患者様のお口の環境によって、複数回にわたる施術が必要となる場合があります
・治療が終わった後も、十分なセルフケアが必要です
・正しいブラッシングやメンテナンスを行わない場合、歯石の付着や虫歯が生じる可能性があります