お問い合わせはこちらまで

エスペレ歯科

ご予約・お問い合わせ
048-464-8333

ホープデンタルクリニック

ご予約・お問い合わせ
048-462-4183

Web診療予約・お問合せ

Web予約・お問合せ

60代男性 他院での根管治療後に当院で作製したジルコニアクラウンを装着した症例|朝霞市の歯医者ならエスペレ歯科・ホープデンタルクリニック

エスペレ歯科・ホープデンタルクリニック

文字の大きさ

エスペレ歯科:048-464-8333・ホープデンタルクリニック:048-462-4183
お問合せ

エスペレ歯科

ホープデンタルクリニック

かみ合わせ案内所

BBO研究会

スタッフ募集

ココシカバナー

インスタバナー

60代男性 他院での根管治療後に当院で作製したジルコニアクラウンを装着した症例

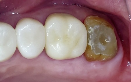
治療前

治療後

ご相談内容

「他院で左上奥歯の根管治療が終わったので、被せ物を装着してほしい」とご相談いただきました。

カウンセリング・診断結果

拝見したところ、左上奥歯は他院で自費診療の根管治療を受けており、すでに治療が終了している状態でした。
根管治療とは、細菌に感染した神経を取り除き、薬剤でしっかりと封鎖する治療方法のことです。

現在は被せ物を装着するために形を整えた歯「支台歯」のままなので、被せ物を装着する必要があります。

行ったご提案・治療内容

患者様は被せ物の素材について、白い「セラミック」の中でも高い強度をもつ「ジルコニア」を希望されました。

メリット
・人工ダイヤモンドと呼ばれるほど強度が高く、審美性にも優れている
・金属アレルギーの心配がない

デメリット
・自費診療なので費用がかかる
・作製、装着時の調整が難しい

以上のメリットとデメリットをお伝えしたところ、患者様は当初の希望どおり、ジルコニアクラウンでの治療を選択されました。

まずは、被せ物を装着するために歯の形を整え、型取りを行います。

後日、完成したジルコニアクラウンを装着し、歯にぴったりと合っているか、噛み合わせに問題がないかなどを十分に確認して、治療を終了しました。

治療回数の目安 2回
おおよその費用 約150,000円
治療リスク

・装着に際し、天然歯を削る場合があります
・硬い素材の場合、他の天然歯を傷つけることがあります
・噛み合わせや歯ぎしりが強い場合、セラミックが割れる可能性があります
・一部の治療を除き、自費診療(保険適用外治療)です