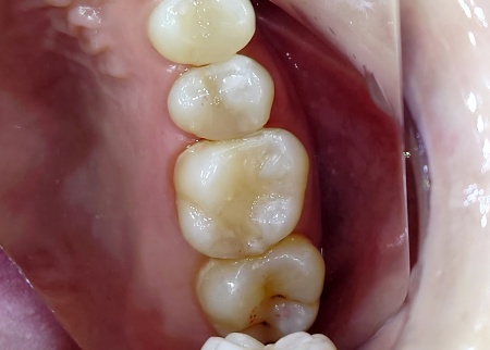
治療前
治療中
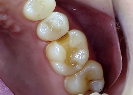
治療後

| ご相談内容 |
「左上奥歯がしみるので診てほしい」とご相談いただきました。 |
|---|---|
| カウンセリング・診断結果 |
拝見したところ、左上奥歯1本は手前の歯と隣接している面から噛み合わせの面にかけて、虫歯が生じていました。 このまま放置すると、虫歯が神経に達して今より強くしみるようになったり、痛みが出たりするリスクがあるため、早急に治療する必要があると診断しました。 |
| 行ったご提案・治療内容 |
虫歯治療後に行う修復方法について、以下の提案を行いました。 ①保険診療で修復 ②自費診療で修復 患者様はそれぞれメリットとデメリットをしっかりご理解いただいたうえで、②の自費診療での治療を選択されました。 まず、取り残しがないようにしっかりと虫歯を除去し、歯の形を整えてから型取りを行いました。 後日、完成したE-MAXインレーを装着し、噛み合わせや見た目に問題がないことを確認して、治療を終了しました。 |
| 治療回数の目安 | 2回 |
| おおよその費用 | 約50,000円 |
| 治療リスク |
・治療中に痛みを伴う場合があります |