お問い合わせはこちらまで

エスペレ歯科

ご予約・お問い合わせ
048-464-8333

ホープデンタルクリニック

ご予約・お問い合わせ
048-462-4183

Web診療予約・お問合せ

Web予約・お問合せ

9歳女の子 過蓋咬合と上前歯の隙間をT4Kトレーナーで改善した症例|朝霞市の歯医者ならエスペレ歯科・ホープデンタルクリニック

エスペレ歯科・ホープデンタルクリニック

文字の大きさ

エスペレ歯科:048-464-8333・ホープデンタルクリニック:048-462-4183
お問合せ

エスペレ歯科

ホープデンタルクリニック

かみ合わせ案内所

BBO研究会

スタッフ募集

ココシカバナー

インスタバナー

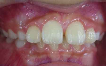
9歳女の子 過蓋咬合と上前歯の隙間をT4Kトレーナーで改善した症例

治療前

治療後

ご相談内容

「上前歯に隙間がある。また、噛んだときに下前歯が見えないのも気になる」とご相談いただきました。

カウンセリング・診断結果

拝見したところ、上前歯が下前歯に深く覆い被さる過蓋咬合(かがいこうごう)と、上前歯の真ん中に隙間が生じる正中離開(せいちゅうりかい)が見られました。

過蓋咬合は、噛んだときに上前歯が下の歯茎に当たったり、上前歯を押し上げるような力がかかったりすることがあります。
この影響により前歯の位置関係が乱れ、正中離開が生じたと考えられました。

患者様はまだ幼いため、このまま放置すると咀嚼や発音がしにくくなったり、成長期の歯並びや顎の発育に悪影響が出たりするリスクがあります。
以上のことから、成長期のうちに噛み合わせを整え、正中離開を改善する矯正治療が必要だと診断しました。

行ったご提案・治療内容

今回は、顎の発育を利用して噛み合わせを整える、マウスピース型の「T4Kトレーナー」による矯正治療を提案し、同意いただきました。

T4Kトレーナーは、装着することで舌や唇、頬の筋肉を正しく使えるように促す装置です。
その働きで噛み合わせのバランスが整い、前歯にかかる力を適切にコントロールできるため、正中離開の改善が期待できます。

メリット
・取り外しができる
・装着時の痛みが少ない
・成長期における顎の発育を生かしながら、無理なく歯並びを整えられる

デメリット
・装着時間を守らないと十分な効果が得られにくいため、患者様とご家族の協力が不可欠になる

まずは、患者様の口の形状に合った装置を選定します。
T4Kトレーナーをお渡しする際、装着方法や装着時間の厳守などをしっかりとお伝えし、治療を開始しました。

治療中は定期的に来院いただき、装着状況や噛み合わせ、歯並びの変化を確認します。

T4Kトレーナーによる治療を15ヶ月程継続した結果、噛み合わせと前歯の隙間が改善されたため、治療を終了しました。

治療期間の目安 15ヶ月
おおよその費用 約150,000円
治療リスク

・決められたスケジュールを守らない場合、十分な効果が得られない可能性があります
・マウスピースに対応していない症例の場合、治療が難しい可能性があります
・歯の移動に伴って、痛みや違和感を感じる場合があります
・正しいブラッシングやメンテナンスを行わない場合、虫歯や歯周病のリスクが高まります