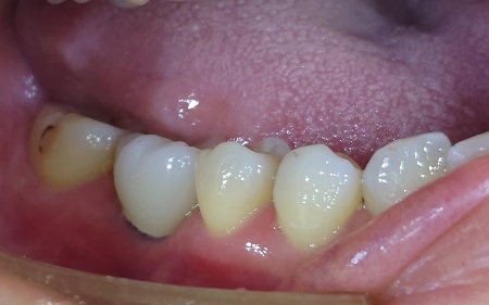
治療前
治療中


治療後

| ご相談内容 |
「右下の奥歯が折れて抜歯したので、インプラント治療で歯を入れたい」とご相談いただきました。 |
|---|---|
| カウンセリング・診断結果 |
拝見したところ、右下の奥歯が1本なくなっていました。 また奥歯が1本欠けたままの状態を放置すると、上の歯との噛み合わせが変わってしまったり、周囲の歯に負担がかかってしまったりすることがあります。 |
| 行ったご提案・治療内容 |
歯を補う治療には、以下3つの選択肢があります。 ①両隣の歯を削って橋のように連結するブリッジ ②取り外し式の入れ歯 ③人工の歯根を骨に埋めて人工歯を固定するインプラント治療 それぞれのメリット・デメリットをお伝えしたところ、患者様は初診の段階からインプラント治療を希望されていたこともあり、最終的に③インプラント治療を選択されました。 まず歯が欠けている部位の骨の状態を詳しく確認し、インプラントを適切な位置と角度で埋め込みました。処置後はインプラントがあごの骨としっかり結合するまでの期間を確保し、経過を丁寧に観察しています。 その後、インプラントが十分に安定したことを確認してから、人工歯を作るための型取りを行いました。 最後に完成したジルコニアの人工歯を装着し、噛み合わせの高さや形に問題がないかを確認して治療を終了しました。 |
| 治療回数の目安 | 約4回 |
| おおよその費用 | 約500,000円 |
| 治療リスク |
・外科手術のため、術後に痛みや腫れ、違和感を伴います |