お問い合わせはこちらまで

エスペレ歯科

ご予約・お問い合わせ
048-464-8333

ホープデンタルクリニック

ご予約・お問い合わせ
048-462-4183

Web診療予約・お問合せ

Web予約・お問合せ

70代女性 歯根が折れた歯を抜かずに装着する残根上義歯で噛み合わせを改善した症例|朝霞市の歯医者ならエスペレ歯科・ホープデンタルクリニック

エスペレ歯科・ホープデンタルクリニック

文字の大きさ

エスペレ歯科:048-464-8333・ホープデンタルクリニック:048-462-4183
お問合せ

エスペレ歯科

ホープデンタルクリニック

かみ合わせ案内所

BBO研究会

スタッフ募集

ココシカバナー

インスタバナー

70代女性 歯根が折れた歯を抜かずに装着する残根上義歯で噛み合わせを改善した症例

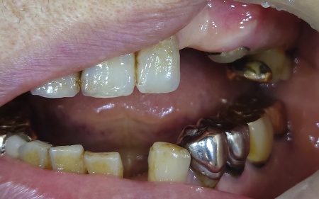
治療前

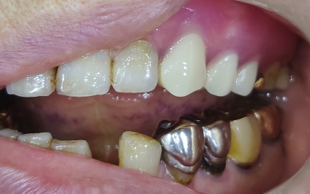
治療後

ご相談内容

「左上の歯が折れてしまった」とご相談いただきました。

カウンセリング・診断結果

拝見したところ、左上前歯(犬歯)が欠損しており、欠損部後方にある2本の歯を土台として欠損部を補う延長ブリッジ(複数の人工歯がつながった被せ物)が装着されていましたが、土台の2本の歯が根元部分から折れていました。

折れた歯根をそのまま放置すると、細菌が侵入して歯根の周囲に炎症が起きたり、膿が溜まったりするおそれがあります。
その結果、痛みや腫れが生じる、周囲の健康な歯や歯茎に悪影響を及ぼす、残っている歯に過度な負担がかかるなどのリスクもあります。

この場合、通常であれば折れた歯根を抜く必要がありますが、患者様は長期間にわたって骨粗鬆症の改善薬を服用されており、骨密度がとても低い状態でした。
この状態で抜歯を行うと、傷の治りが遅くなったり、顎の骨に影響が出たりするリスクが高まります。

以上のことから、患者様の全身状態と口腔内の状況を総合的に考慮し、慎重な治療が必要であると診断しました。

行ったご提案・治療内容

患者様には「残根上義歯(ざんこんじょうぎし)」という治療方法を提案し、同意いただきました。
残根上義歯とは、破折した歯根を残したまま入れ歯を装着する方法で、抜歯によるリスクを避けながら、噛む機能の回復が望める治療です。

また入れ歯の種類については、患者様が「金属のバネが見えてしまうのは避けたい」と希望されたため、特殊な樹脂素材を使用し、金属のバネを使わずに歯にフィットさせる「ノンクラスプデンチャー」を提案しました。
金属のバネがないため見た目が自然で、笑ったときに入れ歯だと気付かれにくいのが大きなメリットです。
一方で、通常の義歯と比較すると修理が難しかったり、経年劣化により交換が必要になったりするおそれがある点についてもお伝えしたところ、患者様はノンクラスプデンチャーでの治療を希望されました。

まず、折れた歯根を慎重に削り、残根上義歯が装着できるよう丁寧に調整します。
続いて口腔内の型取りを行い、患者様の歯並びや噛み合わせに合わせたノンクラスプデンチャーを製作しました。

完成したノンクラスプデンチャーを装着し、必要に応じて細かな調整を行います。
最後に、違和感なく使用できるか、見た目や噛み合わせに問題はないかなどをしっかりと確認して、治療を終了しました。

治療回数の目安 3回
おおよその費用 約200,000円
治療リスク

・着脱式のため、食後の清掃が必要です
・最初のうちは異物感があり、慣れるまで時間がかかる場合があります
・慣れるまでは、入れ歯の裏側の粘膜に傷ができる場合があります