お問い合わせはこちらまで

エスペレ歯科

ご予約・お問い合わせ
048-464-8333

ホープデンタルクリニック

ご予約・お問い合わせ
048-462-4183

Web診療予約・お問合せ

Web予約・お問合せ

9歳女の子 過蓋咬合と乱れた歯並びを上顎拡大装置とT4Kトレーナーを用いた治療で改善した症例|朝霞市の歯医者ならエスペレ歯科・ホープデンタルクリニック

エスペレ歯科・ホープデンタルクリニック

文字の大きさ

エスペレ歯科:048-464-8333・ホープデンタルクリニック:048-462-4183
お問合せ

エスペレ歯科

ホープデンタルクリニック

かみ合わせ案内所

BBO研究会

スタッフ募集

ココシカバナー

インスタバナー

9歳女の子 過蓋咬合と乱れた歯並びを上顎拡大装置とT4Kトレーナーを用いた治療で改善した症例

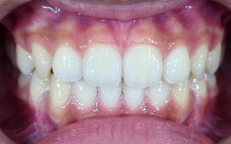
治療前

治療後

ご相談内容

「歯並びが気になる」とご相談いただきました。

カウンセリング・診断結果

拝見したところ、奥歯を噛み合わせた際に上前歯が下前歯に覆いかぶさり、下前歯がほとんど見えなくなる過蓋咬合(かがいこうごう)が認められました。
また、下前歯は歯が正しく並ぶスペースが不足しており、デコボコに生えている状態です。

過蓋咬合を放置すると、噛み合わせの問題から出っ歯になったり、奥歯に負担がかかって将来的に歯や顎に痛みが出たりするおそれがあります。
加えて、歯並びが乱れていると歯が重なった部分に汚れが溜まりやすくなり、虫歯や歯周病のリスクが高まります。

以上のことから、歯並びと噛み合わせを改善する必要があると診断しました。

行ったご提案・治療内容

デコボコしている歯並びを整えて正しい位置で噛めるようにするために、顎の幅を広げたあと、口周りの筋肉バランスを整える矯正治療を提案し、同意いただきました。

この治療方法は成長期のお子様に適しており、顎の骨の発達を促しながら筋肉が正しく機能するよう導くことで、歯並びや噛み合わせの改善を目指します。

まず、固定式の「上顎拡大装置」を使用して上顎の幅を徐々に広げ、歯が適切な位置に並ぶためのスペースを確保しました。
上顎が十分に拡大したら、取り外し可能なマウスピース型の矯正装置「T4Kトレーナー」の装着を開始します。

T4Kトレーナーのメリット
・舌の癖や口呼吸など、歯並びに悪影響を与える習慣の改善が期待できる
・自然なかたちで顎の骨の成長を促すことができる

T4Kトレーナーのデメリット
・十分な効果を得るためには、毎日決められた時間装着し、継続する必要がある

患者様と保護者様には、トレーナーの装着時間をしっかり守るよう指導して治療を進めました。

最後に、歯並びと噛み合わせが改善されたことを確認して、治療を終了しています。

治療期間の目安 4年
おおよその費用 約450,000円
治療リスク

・決められたスケジュールを守らない場合、十分な効果が得られない可能性があります
・マウスピースに対応していない症例の場合、治療が難しい可能性があります
・歯の移動に伴って、痛みや違和感を感じる場合があります
・正しいブラッシングやメンテナンスを行わない場合、虫歯や歯周病のリスクが高まります