お問い合わせはこちらまで

エスペレ歯科

ご予約・お問い合わせ
048-464-8333

ホープデンタルクリニック

ご予約・お問い合わせ
048-462-4183

Web診療予約・お問合せ

Web予約・お問合せ

10歳男の子 下前歯の裏に付着した歯石を保険診療内のクリーニングで除去した症例|朝霞市の歯医者ならエスペレ歯科・ホープデンタルクリニック

エスペレ歯科・ホープデンタルクリニック

文字の大きさ

エスペレ歯科:048-464-8333・ホープデンタルクリニック:048-462-4183
お問合せ

エスペレ歯科

ホープデンタルクリニック

かみ合わせ案内所

BBO研究会

スタッフ募集

ココシカバナー

インスタバナー

10歳男の子 下前歯の裏に付着した歯石を保険診療内のクリーニングで除去した症例

治療前

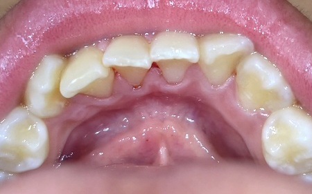
治療後

ご相談内容

「下前歯に歯石がある」とご相談いただきました。

カウンセリング・診断結果

拝見したところ、下前歯の裏側に歯石が多く付着していました。

歯石は細菌の塊が石灰化して硬くなったもので、表面がざらざらしているため新たな汚れが付きやすく、通常の歯磨きだけで除去することは困難です。

このまま放置すると、虫歯や歯周病のリスクが高まるため、しっかりと取り除く必要があると診断しました。

行ったご提案・治療内容

歯石は保険診療内のクリーニングで除去できることをお伝えし、治療に同意いただきました。

メリット
・歯石や汚れを1回の治療で除去できる
・虫歯や歯周病の予防につながる

デメリット
・クリーニングの刺激により、一時的に出血したり違和感が生じたりする場合がある

まず、超音波を利用した機械と専用の器具を用いて、歯石を丁寧に取り除きました。

歯石の除去後は、器具の刺激により歯の表面に微細な傷ができることがあります。
傷を放置すると、新たな歯石や汚れが再び付着しやすくなるため、回転するブラシを用いて歯を磨くポリッシングを行い、表面を滑らかに仕上げました。

最後に、歯石の再付着を予防するため、患者様と保護者様には歯石が付きやすい部分の説明や、歯ブラシの正しい当て方・動かし方の指導を実施し、治療を終了しています。

治療回数の目安 1回
おおよその費用 保険診療内
治療リスク

・病状、症状、患者様のお口の環境によって、複数回にわたる施術が必要となる場合があります
・治療が終わった後も、十分なセルフケアが必要です
・正しいブラッシングやメンテナンスを行わない場合、歯石の付着や虫歯が生じる可能性があります