お問い合わせはこちらまで

エスペレ歯科

ご予約・お問い合わせ
048-464-8333

ホープデンタルクリニック

ご予約・お問い合わせ
048-462-4183

Web診療予約・お問合せ

Web予約・お問合せ

11歳男の子 成長がやや遅い下顎にマウスピース型の矯正装置を使用して噛み合わせのバランスを整えた症例|朝霞市の歯医者ならエスペレ歯科・ホープデンタルクリニック

エスペレ歯科・ホープデンタルクリニック

文字の大きさ

エスペレ歯科:048-464-8333・ホープデンタルクリニック:048-462-4183
お問合せ

エスペレ歯科

ホープデンタルクリニック

かみ合わせ案内所

BBO研究会

スタッフ募集

ココシカバナー

インスタバナー

11歳男の子 成長がやや遅い下顎にマウスピース型の矯正装置を使用して噛み合わせのバランスを整えた症例

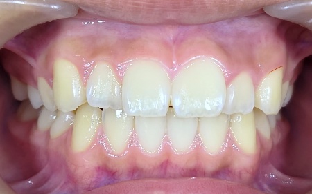
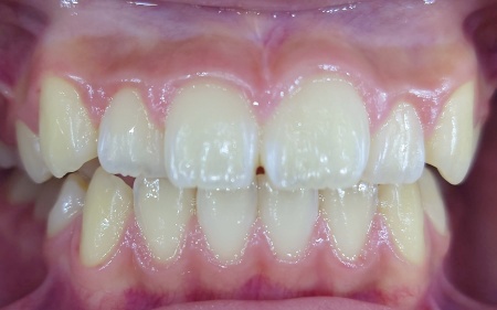
治療前

治療後

ご相談内容

「上下奥歯の噛み合わせが気になる」とご相談いただきました。

カウンセリング・診断結果

拝見したところ、下顎の成長が上顎よりもやや遅い傾向が見られました。
ただ、日常生活における食事や発音に大きな支障をきたすほどではなく、成長を見守ることも可能な範囲です。

しかし、下顎の成長がこのままうまく進まず、上下顎のバランスが崩れると、将来的に以下のリスクが考えられます。
・奥歯に過度な負担がかかりやすくなる
・顎の関節に痛みや違和感が生じる場合がある
・噛み合わせのずれが大きくなると、食べ物を噛む力が低下したり顔貌のバランスに悪影響が出たりする

現時点で深刻な問題は見られませんが、成長期は顎の発育を促す適切なタイミングなので、お子様に適した治療をする必要があると診断しました。

行ったご提案・治療内容

検査結果をもとに、保護者様には現状と今後起こりうる変化、そして将来的な成長の見込みについて丁寧にお伝えします。
そのうえで、T4K(ティーフォーケー)と呼ばれるマウスピース型の矯正装置を使用し、下顎の成長を促す治療を提案しました。

T4Kは、日中の短時間及び就寝中に着用して下顎の成長をサポートし、噛み合わせのバランスを整える装置です。

メリット
・成長期に使用することで、無理なく自然なかたちで治療を進めることができる
・取り外し式のため、食事や歯磨きの際に外すことができる

デメリット
・毎日決められた時間しっかりと装着しなければ、十分な効果を得ることが難しい
・装着してしばらくは違和感を覚えることがある

メリットとデメリットについて詳しく説明したところ、保護者様は噛み合わせの改善を強く希望しており、T4Kを用いた治療に同意いただきました。

まずは、T4Kの装着方法や注意事項について詳しくお伝えし、ご自宅での使用を開始します。
その後は定期的に来院いただき、その都度成長具合を確認しながら治療を進めました。

半年後、下顎が成長して上下顎のバランスが整い、噛み合わせも改善したことが確認できたため、装置による治療を終了しています。

治療期間の目安 半年
おおよその費用 約150,000円
治療リスク

・決められたスケジュールを守らない場合、十分な効果が得られない可能性があります
・マウスピースに対応していない症例の場合、治療が難しい可能性があります
・正しいブラッシングやメンテナンスを行わない場合、虫歯や歯周病のリスクが高まります