お問い合わせはこちらまで

エスペレ歯科

ご予約・お問い合わせ
048-464-8333

ホープデンタルクリニック

ご予約・お問い合わせ
048-462-4183

Web診療予約・お問合せ

Web予約・お問合せ

30代女性 痛みが生じていた奥歯の虫歯を除去しジルコニアインレーで修復した症例|朝霞市の歯医者ならエスペレ歯科・ホープデンタルクリニック

エスペレ歯科・ホープデンタルクリニック

文字の大きさ

エスペレ歯科:048-464-8333・ホープデンタルクリニック:048-462-4183
お問合せ

エスペレ歯科

ホープデンタルクリニック

かみ合わせ案内所

BBO研究会

スタッフ募集

ココシカバナー

インスタバナー

30代女性 痛みが生じていた奥歯の虫歯を除去しジルコニアインレーで修復した症例

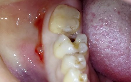
治療前

治療後

ご相談内容

「右下奥歯が痛いので診てほしい」とご相談いただきました。

カウンセリング・診断結果

拝見したところ、右下奥歯に虫歯が生じており、穴が開いたうえ部分的に欠けている状態です。

このまま放置すると、欠けた部分から細菌が侵入し、歯の内部で虫歯が広がるおそれがあるため、早急に治療する必要があると診断しました。

行ったご提案・治療内容

右下奥歯の虫歯を取り除いて形を整えたあと、型取りを行って新しい詰め物を装着するインレー修復を提案し、同意いただきました。
インレー修復は、型取りのために2回以上通院していただく必要がありますが、型取りをせずに白い樹脂を直接充填するコンポジットレジン修復と比べると、耐久性に優れているメリットがあります。

患者様は白い素材での修復を希望されていたため、天然歯のような自然な白さが特徴のセラミックから、今回はジルコニアを選択しました。
ジルコニアは自費診療なので費用がかかるものの、変色するリスクがほとんどなく、長期間審美性を保つことが可能です。さらに、ジルコニアはセラミックの中でもとくに耐久性が高く、噛んだ際に負担がかかりやすい奥歯にも適しています。
また、ジルコニアの詰め物を患者様の歯の色味に近づけるためには細かい調整が必要ですが、その分費用がかかります。今回は費用を抑えるために細かい審美性の追求はせず、患者様の歯の色になるべく近い色を選択することをお伝えし、こちらも同意いただきました。

まずは、右下奥歯の虫歯を取り残しがないよう慎重に除去します。
次に、歯を削る量をなるべく少なくするよう心がけて慎重に歯の形を整え、型取りを行いました。

後日、完成したジルコニアインレーを装着し、歯としっかり合っているか、噛み合わせに問題がないかなどを確認して治療を終了しました。

治療回数の目安 2回
おおよその費用 88,000円
治療リスク

・治療中に痛みを伴う場合があります
・治療後に正しい歯磨きやメンテナンスを怠ると、虫歯が再発する場合があります
・治療後は神経が過敏になっているため、痛みが生じる場合があります
・硬い素材の場合、他の天然歯を傷つけることがあります
・噛み合わせや歯ぎしりが強い場合、セラミックが割れる可能性があります
・一部の治療を除き、自費診療(保険適用外治療)です