お問い合わせはこちらまで

エスペレ歯科

ご予約・お問い合わせ
048-464-8333

ホープデンタルクリニック

ご予約・お問い合わせ
048-462-4183

Web診療予約・お問合せ

Web予約・お問合せ

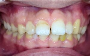
hopedental_No234_before_001|朝霞市の歯医者ならエスペレ歯科・ホープデンタルクリニック

エスペレ歯科・ホープデンタルクリニック

文字の大きさ

エスペレ歯科:048-464-8333・ホープデンタルクリニック:048-462-4183
お問合せ

エスペレ歯科

ホープデンタルクリニック

かみ合わせ案内所

BBO研究会

スタッフ募集

ココシカバナー

インスタバナー

hopedental_No234_before_001